千葉市の歯科医院|藤本長洲医院

Medical Information診療案内

インビザライン

千葉市でインビザラインを
お考えの方は藤本長洲医院へ

「歯並びが気になる」「ワイヤー矯正は見た目が気になる」「目立たない矯正をしたい」――こうした悩みを抱える方に、当院では インビザライン(マウスピース型矯正) をご提案しています。千葉市(本千葉駅周辺)で通いやすく、矯正治療中でも自然な見た目を維持しながら歯並びを整えたい方は、ぜひ一度ご相談ください。
歯科矯正は「見た目だけ」でなく、咬み合わせ・歯の健康・口腔機能全体にプラスの変化をもたらします。透明なマウスピース型矯正なら、日常生活でのストレスも少なく、衛生的に矯正を進められます。当院では、丁寧な検査と患者さま個別の治療設計、安心のメンテナンス体制で、千葉市の皆さまの笑顔を守ります。

インビザラインを選ぶ理由
メリット・デメリット

インビザラインを選ぶ理由

  • ・ワイヤー矯正が見た目で気になる
  • ・仕事・会話・人前で笑顔を自然に保ちたい
  • ・取り外し可能で食事や歯磨きがしやすい矯正を希望
  • ・金属アレルギーがあり金属ブラケットを避けたい

こうしたご希望を持つ方にとって、透明マウスピース型矯正(インビザライン)は非常に魅力的な選択肢となります。

メリット

  • 目立ちにくさ

    透明なマウスピースを用いるため、従来のワイヤー矯正よりも目立ちにくく、矯正中の見た目ストレスが軽減されます。
  • 取り外し可能

    装置を取り外せるため、食事や歯磨き時に自由度が高く衛生管理もしやすいです。
  • 快適性・低刺激性

    突き出したワイヤーや金属部品がないため、口唇や粘膜への刺激が少なめです。
  • 金属アレルギーの回避

    金属部品を用いないため、金属アレルギーのリスクを抑えられる可能性があります。
  • 通院頻度が抑えられることも

    ワイヤー矯正と比べて、調整回数がやや少ないケースもあります。

デメリット

  • 適応症例の限界

    複雑な咬合異常や大きな歯移動を伴うケースでは適さないことがあります。
  • 自己管理の必要性

    マウスピースの装着時間・交換時期など患者さま自身の管理が結果に大きく影響します。
  • コストが高め

    自由診療であるため、ワイヤー矯正より高額な費用となることがあります。
  • 装着中の違和感・発音への影響

    最初は発音が多少変わる・違和感を感じることがあります。
  • 治療期間の変動

    歯の動き方や適応度により、予定より治療期間が延びる可能性があります。

このような症状・お悩みがあれば
インビザラインをご検討ください

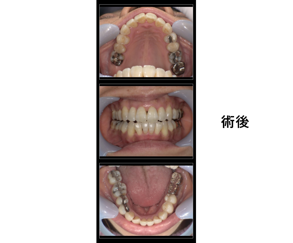
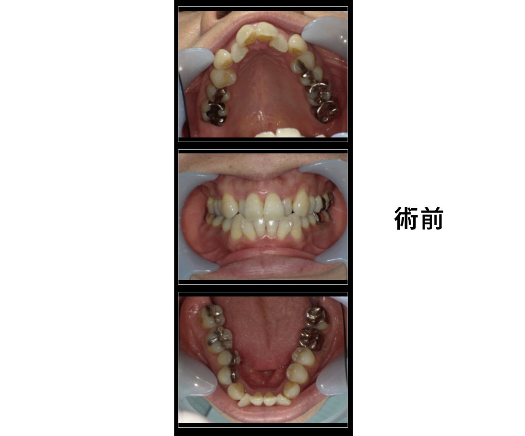
女性50歳
治療内容:定期検診希望だが歯並びが気になる
  →歯周治療後にインビザラインGOにて矯正治療
金額:診断22000円、矯正440000円
来院理由:全体的に診てほしい
施術の副作用(リスク):
痛みや違和感を感じることがあります。歯が一時的に動揺することがあります。
咬みにくさをかんじることがあります。

  • ・歯並びがガタガタしている(叢生)
  • ・前歯のすきっ歯・隙間が気になる
  • ・出っ歯・前突・上顎が前に出ている
  • ・交差咬合・すれ違い咬合
  • ・矯正後の後戻りを修正したい
  • ・金属ブラケットをつけたくない・見た目が気になる

藤本歯科長洲医院のインビザライン
治療の強み

  • 01

    矯正専門医/認定医が担当

    当院には矯正治療に精通した歯科医師が在籍しており、矯正学に基づいた診断・治療を行っています。歯並びや咬み合わせは見た目だけでなく、将来的な虫歯・歯周病リスク、噛み合わせによる顎関節への負担など、全身の健康にも関わります。そのため、専門的知識を持つ医師が担当することで、単なる「見た目の改善」ではなく「長期的な歯の健康」を見据えた治療が可能です。患者さま一人ひとりの骨格・咬合状態を分析し、最も適した矯正プランをご提案いたします。

  • 02

    デジタル技術と精密設計

    藤本歯科長洲医院では、従来の型取りに代わり口腔内スキャナーを用いた快適なデジタル診断を行っています。嘔吐反射が強い方でも負担が少なく、短時間で精密なデータが取得できます。また、取得したデータをもとに3Dシミュレーションを作成し、治療前に「歯がどのように動いていくか」「最終的にどのような歯並びになるか」を可視化できます。これにより、患者さまはゴールをイメージしながら安心して治療を開始でき、モチベーションの維持にもつながります。さらに、デジタル設計されたアライナーは高い精度で歯を動かすため、効率的で予測性の高い矯正が可能です。

  • 03

    見た目と快適性重視

    矯正治療をためらう理由の一つに「装置が目立つ」という不安があります。当院がご提案するインビザラインは、透明で薄いマウスピースを使用するため、周囲に気づかれにくいのが大きな特長です。接客業や人前で話す機会が多い方、学生の方でも安心して装着できます。また、ワイヤーやブラケットが口の中に当たることで生じる痛みや口内炎のリスクも少なく、快適に矯正を続けられます。アライナーは取り外し可能なので、食事や歯磨きの際に従来の矯正装置よりも自由度が高く、日常生活への影響を最小限に抑えられます。

  • 04

    矯正後も見据えたメンテナンス体制

    矯正治療は「歯が並んで終わり」ではありません。治療後は、歯が元の位置に戻ろうとする後戻りを防ぐことが重要です。当院では、矯正後に保定装置(リテーナー)を使用して歯列を安定させるとともに、定期的なチェックとクリーニングを行います。また、歯並びが整うことでブラッシングがしやすくなるため、虫歯や歯周病の予防も同時に進められます。矯正後の口腔環境を健康に維持することが、長期的に美しい歯並びを保つ秘訣です。藤本歯科長洲医院では、治療後も患者さまに寄り添い、安心して笑顔を維持できるよう継続的にサポートします。

インビザラインと
他の矯正方法の比較

インビザライン ワイヤー矯正 部分矯正
見た目
透明で目立ちにくい

金属ワイヤーが目立つ
(セラミックブラケットなら軽減)

目立ちやすさは部位による
治療期間
平均1〜3年(症例により異なる)
×
平均2〜3年(症例により異なる)

数か月〜1年程度
通院頻度
1〜2か月に1回程度

1か月に1回程度
×
数週間〜1か月に1回
取り外し
可能(食事・歯磨きがしやすい)
×
不可(装置が常に口内にある)

装置により異なる
痛み
違和感

比較的少ない。慣れやすい
×
調整直後に強い痛みや違和感が出やすい

軽度
適応範囲 軽度〜中等度の不正咬合に有効。重度症例は制限あり 幅広い症例に対応可能。複雑な咬合も治療可能 前歯の軽度のガタつきや隙間など限定的

矯正治療には、インビザライン(マウスピース矯正)以外にも「ワイヤー矯正」「部分矯正」などの選択肢があります。治療法ごとに特徴があり、それぞれメリット・デメリットがあります。当院では患者さまの症状やご希望を踏まえ、最適な矯正方法をご提案しています。

千葉市でインビザライン治療をご検討中の方へ

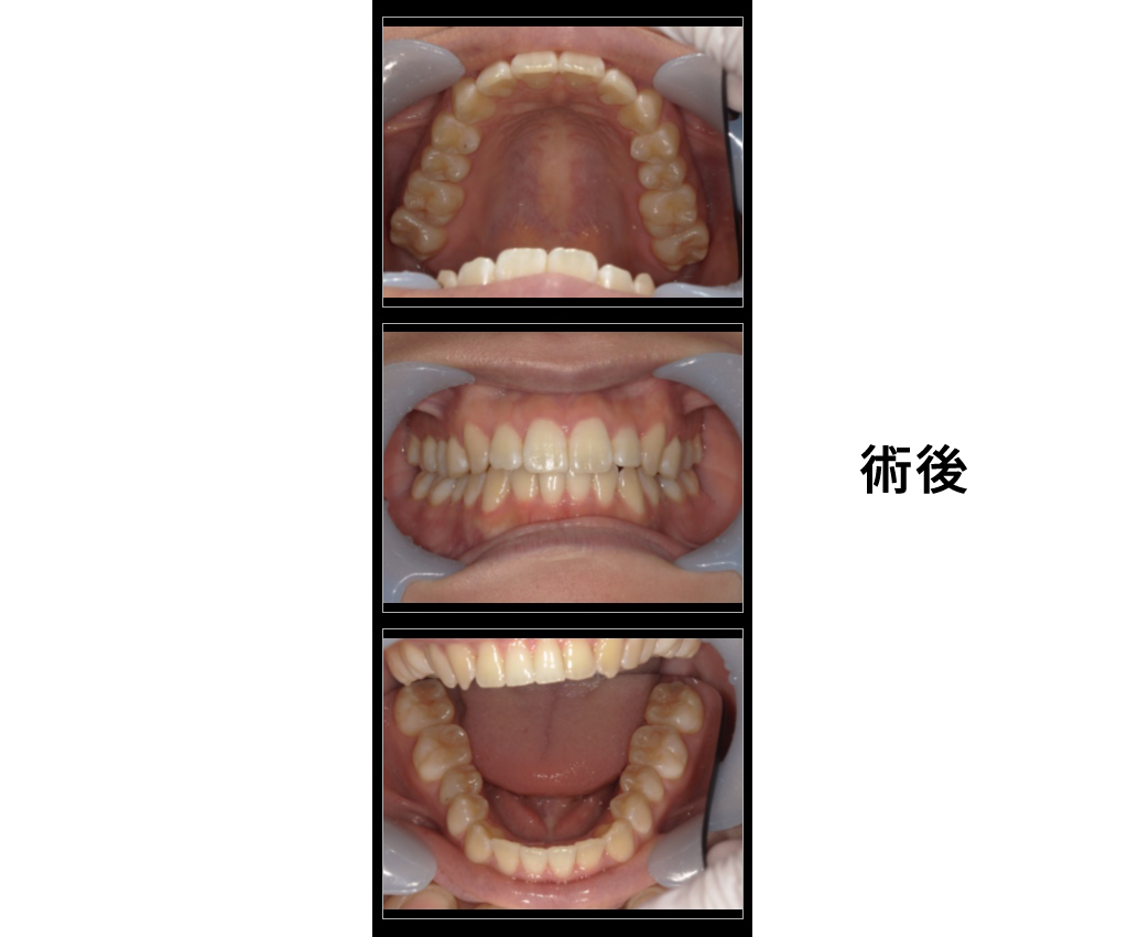
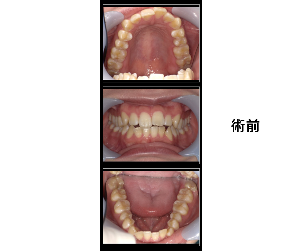
女性・25歳
治療内容:前歯の被蓋をなおしたい
  →インビザラインGOにて矯正治療
金額:診断22000円、矯正440000円
来院理由:前歯の歯並びを治したい
施術の副作用(リスク):
痛みや違和感を感じることがあります。歯が一時的に動揺することがあります。
咬みにくさをかんじることがあります。

千葉市でインビザラインによる矯正治療をご検討中の方は、本千葉駅近くの藤本歯科長洲医院へご相談ください。インビザラインは透明なマウスピースを用いた矯正方法で、従来のワイヤー矯正と比べて目立ちにくく、周囲の目を気にせず自然な笑顔を保ちながら歯並びを整えることができます。取り外しが可能なため、食事や歯磨きがしやすく衛生的に治療を進められる点も大きなメリットです。また、金属を使用しないため、金属アレルギーの心配もありません。当院では、矯正治療に精通した歯科医師が、歯科用CTや口腔内スキャンなどを活用し、精密な診断と治療計画を行います。さらに3Dシミュレーションにより、治療前に歯並びの変化を確認できるため、安心して治療を開始していただけます。治療後は保定装置の使用や定期メンテナンスを徹底し、後戻りを防ぎながら長期的に美しい歯並びを維持していただけます。「目立たない矯正がしたい」「仕事や学校に支障のない矯正を探している」という方に、インビザラインは最適な選択肢です。千葉市で安心してマウスピース矯正を受けたい方は、藤本歯科長洲医院にお気軽にご相談ください。

keyboard_arrow_up
お電話からのお問い合わせはこちら
24h受付中ネット予約はこちら